Ул. Героев Панфиловцев, д. 13, корп. 3
пн-вс с 9:00 до 22:00
ул. Свободы, д. 59
пн-вс Круглосуточно
Советы

Врожденные пороки сердца

Врожденные пороки сердца – это возникшие внутриутробно (в зародышевом периоде животного) анатомические дефекты сердца, его клапанного аппарата или его сосудов. Эти дефекты могут встречаться изолированно или в сочетании друг с другом. Врожденный порок сердца может проявляться сразу после рождения или протекать скрыто.
Симптомы при врожденных пороках сердца у животных:
  • Обычно симптомы развиваются в раннем возрасте.
  • Шум при аускультации сердца
  • Непереносимость нагрузок
  • Отставание в росте
  • Одышка
  • Выпот в грудную и брюшную полость
  • Расширение тени сердца на рентгене
  • Обмороки
  • Цианоз
  • Смерть

У собак распространенность врожденных пороков сердца оценивается в <1%. Наиболее распространенными дефектами являются: стеноз аорты, стеноз легочной артерии, открытый артериальный порок (ОАП). Менее распространены такие дефекты как: дефект межжелудочковой перегородки (ДМЖП), дефект межпредсердной перегородки (ДМПП), дисплазия митрального клапана, дисплазия трехстворчатого клапана, тетрада Фалло.
У кошек распространенность врожденых пороков сердца оценивается в 0,2-1%. Наиболее распространенные пороки: дефект межжелудочковой перегородки (ДМЖП), дефект межпредсердной перегородки (ДМПП), стеноз аорты, тетрада Фалло.
При осмотре животного важно учитывать наличие шума при аускультации. При наличии громких систолических шумов (3,4 степени и выше) требуют дальнейшей диагностики при помощи эхокардиографии, также возможно проведение контрастной эхокардиографии.
Клиническое значение врожденных пороков сердца зависит от конкретного дефекта и его тяжести. При легкой степени поражения может не происходит нарушение гемодинамики и продолжительность жизни оценивается как нормальное.
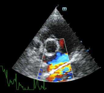
Рисунок 1 Эхокардиография при ОАП у собаки
Рисунок 2 Открытый артериальный проток
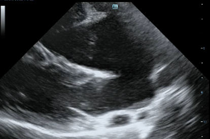
Рисунок 3 Эхокардиография при ДМПП у кошки
Рисунок 4 ДМПП
Раннее выявление врожденного порока сердца имеет решающее значение, поскольку некоторые дефекты возможно исправить при помощи хирургического лечения. Данные метод лечения возможен лишь при отсутствии застойной сердечной недостаточности и отсутствии необратимого поражения сердца. Животные с поздней диагностикой врожденных пороков сердца и развитием необратимых изменений в сердце наиболее подвержены риску внезапной смерти.

Для диагностики и оценки степени тяжести врожденного порока сердца необходимо проведение таких диагностических процедур как: осмотр, рентгенография, эхокардиография с применением цветовой допплерографии, контрастная эхокардиография, КТ- диагностика с применением контраста. После постановки диагноза и определения степени тяжести можно разобрать варианты лечения и дать прогноз.

Рисунок 5 Эхокардиография с применением контраста

Такие животные должны проходить ежегодное ЭХО сердца для оценки гемодинамики. Также при проявлении клинической симптоматики необходимо незамедлительное обращение к кардиологу.

Дефекты с тяжелой степенью поражения сердца вероятно приведут к гибели новорожденных.

Заключение: Раннее выявление врожденного порока сердца имеет решающее значение, поскольку некоторые дефекты возможно исправить при помощи хирургического лечения.



Контактная
информация
пн-вс с 9:00 до 22:00
ул. Свободы, д. 59
пн-вс Круглосуточно
Ул. Героев Панфиловцев, д. 13, корп. 3
Все права защищены. 2021
Политика конфиденциальности